ホワイトニングの効率を最大限アップ
その日のうちに“白さの手応え”
オフィスホワイトニング
高性能薬剤を使用
- 従来薬剤の3倍※の
ホワイトニング効果 - 効果の高さから特許取得
最短1週間で
ブリーチシェードへ
ホワイトエッセンスの
オフィスホワイトニングが
選ばれる理由
※出典:新規漂白材ホワイトエッセンスホワイトニング プロの漂白効果(2019年5月) 大槻昌幸先生による発表
ホワイトエッセンスは
オフィスホワイトニングだけで
ブリーチシェードへ
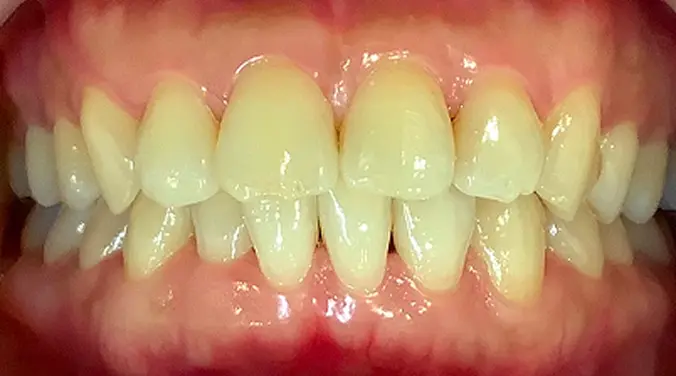
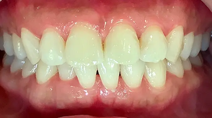
ブリーチシェード症例
ホワイトニングメニュー紹介
ホワイトエッセンスコースエクスプレス
ホワイトエッセンスのホワイトニング薬剤は
象牙質まで効果が届くから※
ブリーチシェードを目指せる
※出典:新規漂白材ホワイトエッセンスホワイトニング プロの漂白効果(2019年5月) 大槻昌幸先生による発表
メニュー内容
1週間後にはこんな白さに
なっていたい方におすすめ
118,800円(税込)
オフィスホワイトニングプロ・プロプラス
安心してお受けいただくための制度
全額
返金保証制度
効果が実感いただけない場合、
翌営業日までのお申し出※で全額返金
※施術をお受けいただいた医院へのメールもしくはお電話
メニュー内容
よくあるご質問
-
Q.
1回のホワイトニングでどれくらい白くなりますか?
-
A.
メニューによって異なりますが、オフィスホワイトニングプロの場合は4~6段階の白さアップを目指せます。 -
Q.
歯科医院で行うホワイトニングはホワイトニング用歯磨き粉やセルフホワイトニングと効果が異なりますか?
-
A.
歯の黄ばみの原因は歯の表面の着色だけでなく、歯の内部にもあります。内部の黄ばみを分解する過酸化物を含む薬剤は、歯科医院でないと扱えません。ホワイトニング用の歯磨き粉やセルフホワイトニングは歯の表面の着色を取り除き、歯を本来の白さに戻すという効果にとどまります(歯のクリーニングと同等の効果)。 -
Q.
歯科医院によってホワイトニングの効果は変わりますか?
-
A.
ホワイトニングの効果は使用する薬剤と施術者の技術によって決まるため、歯科医院ごとに結果に違いが生じることがあります。ホワイトエッセンスでは、高い品質で施術を受けていただけるよう以下の体制を整えております。従来の3倍以上のホワイトニング効果(※1)のある薬剤を使用。130時間以上の研修を受け、技術試験(※2)に合格した歯科衛生士のみが担当。全国どの医院をご利用いただいても高い品質で施術を受けていただける体制を整えております。
※1 出典:新規漂白材ホワイトエッセンスホワイトニング プロの漂白効果(2019年5月)大槻 昌幸先生による発表
※2 ホワイトエッセンス独自試験 -
Q.
食事制限はありますか?
-
A.
ホワイトニング後は、30分間コーヒーやカレーなど色の濃い飲食物をお控えいただく必要がありますが、それ以外に特別な制限はございません。また、毎日コーヒーを飲まれる方やタバコを吸われる方でも問題なくホワイトニングを受けていただけますので、どうぞご安心ください。 -
Q.
初診料やカウンセリング料金など、記載以外の追加料金はありますか?
-
A.
記載以外の追加料金はございません。初診料はいただいておらず、カウンセリングは無料です。 -
Q.
白くしすぎると不自然な白さになりますか?
-
A.
ホワイトエッセンスの薬剤は歯が本来持つツヤ・透明感をそのままに白くすることができ、自然な白さに仕上がります。施術者は全員がホワイトエッセンスの薬剤で歯を白くしているため、来院時にご自身の目でご確認いただけます。 -
Q.
歯をどのように白くするのですか?
-
A.
- オフィスホワイトニングの場合
-
-
01
薬剤の浸透をよくするため歯の表面の汚れを取ります
-
02
薬剤を歯に塗布します
-
03
薬剤の効果を活性化するために光を照射します

内部の黄ばみを分解
-
04
ツヤだし研磨
※オプション
-
- ホームホワイトニングの場合
-
-
01
医院で型取り
-
02
マウスピース製造
-
03
医院で受け取りか
自宅へお届け -
04
毎日30分〜90分装着

内部の黄ばみを分解
-
-
Q.
歯が痛くなったりしみたりしますか?
-
A.
ごくまれに痛みの出る方がいらっしゃいますが、痛みのない方がほとんどです。痛みが出る・しみる等の症状には個人差がございますので、ご心配な方はカウンセリングの際にお申し出ください。知覚過敏などによって痛みが出やすくなっている場合には、しみ止めのお薬を塗布することも可能です。 -
Q.
セルフホワイトニングでは白くならなかったのですが白くなりますか?
-
A.
セルフホワイトニングは歯の表面の着色を取り除き、歯を本来の白さに戻すという効果にとどまります(歯のクリーニングと同等の効果)。ホワイトエッセンスの医療ホワイトニングは、歯の内部の黄ばみを分解し本来以上の白さを目指します。
ホワイトエッセンスを
支える施術者の技術
- 痛みが出ないよう、ミリ単位で調整された器具を当てる角度
- ホワイトニング効果を発揮するために、
秒単位で設計された薬剤準備 - 最も痛みが少なくホワイトニング薬剤の高い効果を発揮できるよう、ミリ単位で指定された薬剤の塗り方
- 高品質な施術を提供するため、独自教育システムで徹底研修
施術技術の評価項目は300以上 - 品質を高い水準で維持するための
年3回のチェック体制、練習の支援制度、表彰制度
監修医師
-

歯科医師
大河原典果
1997年新潟大学歯学部卒業後、獨協医科大学医学部口腔外科学講座入局。2001年ホワイトエッセンスに勤務し、臨床現場での診療と並行して歯のホワイトニングや歯のクリーニングといった各施術のマニュアル・教育研修に参与。ホワイトエッセンスの次世代ホワイトニング材研究開発担当者として、フリーラジカル研究者や共同研究先の各大学の先生方の協力を得てオフィスホワイトニング材(ホワイトエッセンスホワイトニング プロ)の開発および認可取得に携わる。
著書:リピート化するホワイトニング・クリーニング
-

歯科医師
大槻昌幸
1988年東京医科歯科大学大学院歯学研究科修了後、東京医科歯科大学歯学部歯科保存学第一講座入局。東京医科歯科大学大学院准教授、松本歯科大学客員教授を歴任する一方、一般社団法人日本審美歯科学会理事長、一般社団法人日本レーザー歯学会常務理事、一般社団法人日本接着歯学会代議員なども務める。現在はホワイトエッセンス特別監修医師として、世界に通用する漂白効果の実現、及びさらなる漂白効果を得るための製品研究に携わる。
著書:患者さんが安心・納得する医療ホワイトニング説明BOOK こう聞かれたら、こう答える
ホワイトニング NEW GENERATION 他
- オフィスホワイトニング
-
- 内容
- ホワイトニング材とホワイトニング専用照射器を併用して歯を白くします
- 費用(自費)
- 19,900円〜118,800円(税込)
- 期間・回数
- (単品の場合)1日・1回、(コースの場合)1週間〜6か月・2〜3回
- 副作用・リスク
- 個人差がありますが、施術中や施術後に歯がしみる場合があります




